contacto
rehabilitacion

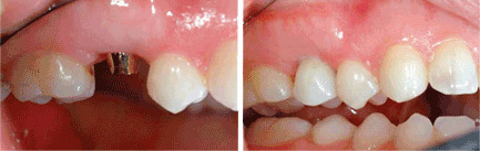
Que es la Rehabilitación Protésica?

La Rehabilitación Protésica es la que a base de elementos artificiales restaura la anatomía de uno o varios dientes, consiguiendo una adecuada relación entre los maxilares.
Objetivos:

1. Estéticos
2. Funcionales
3. Saludables

Materiales utilizados :

1. Metálicos
2. Cerámicos
3. Zirconia
4. Resinosos
5. Híbridos

rehabilitacion de protesis en guadalajara rehabilitacion de protesis en guadalajara

Más información

rehabilitacion de protesis en guadalajara

Tipos de protesis:

1. Removible
2. Fijas
3. Implanto soportados

Resultados obtenidos:

1. Una mejora en la digestión debido al aumento en calidad de la masticación
2. Mejora la fonética
3. Brinda estética dental y aveces también facial
4. Protección

Cuando mejora la función las fuerzas de masticación también se distribuirán mejor y entonces protegerá los dientes remanentes.