contacto
nosotros

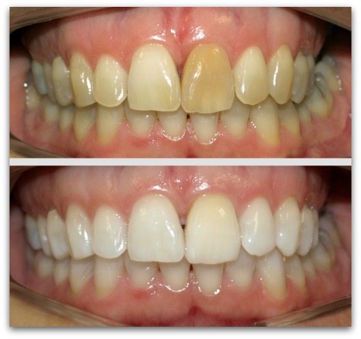
Que es el Blanqueamiento Dental?

El blanqueamiento es un tratamiento sencillo y poco invasivo para aclarar el tono de los dientes y darles una apariencia más blanca y joven.

En nuestra clínica utilizamos productos tolerables para el paciente y con resultados efectivos y que no causan efectos secundarios puede hacerse en toda la boca o en sólo un diente si así se requiere.

blanqueamiento dental en guadalajara

¿El blanqueamiento es para ti?

blanqueamiento dental en guadalajara

Si tu problema es que tienes manchas marrones, amarillentas o cafés, se podrá hacer un blanqueamiento dependiendo del grado y para esto será necesario acudir a consulta para diagnosticar bien el caso y si no fuera posible tratarlo con un blanqueamiento existen diversas opciones para regresarle a tus dientes la estética que siempre has anhelado.