contacto
peridoncia

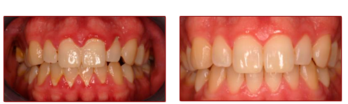
Que es la Peridoncia?

Esta rama de la odontología trata de las enfermedades de las encías así como la del hueso donde se soportan los dientes.

Estas enfermedades puedes desarrollarse a cualquier edad y es una enfermedad silenciosa y sin dolor por lo que muchos pacientes no se dan cuenta del problema.

peridoncia en guadalajara

¿Cómo se desarrolla?

peridoncia en guadalajara

Estas enfermedades inician con la invasión del sarro atravez de la encía y el diente formando una bolsa donde se almacenan muchas bacterias y con el tiempo al perder el tejido de soporte ocasionaran la movilidad de los dientes y posteriormente la perdida de ellos.